Zdjęcia RTG uzębienia
Zdjęcia RTG uzębienia, Bartłomiej Prus-głowacki, Poznań

Dodatkowe dane

Godziny otwarcia:
Pn.
11:00 - 19:00
Wt.
08:00 - 18:00
Śr.
11:00 - 19:00
Cz.
08:00 - 18:00
Pt.
11:00 - 17:00
Sb.
Zadzwoń i sprawdź
Nd.
Zadzwoń i sprawdź
Dane rejestrowe:
NIP: 7822039144
REGON: 301270672
Rok założenia:
2010

O firmie

W naszej pracowni rentgenodiagnostyki stomatologicznej wykonujemy RTG zębów u dzieci i dorosłych. Działalność prowadzimy w Poznaniu, a jej właścicielem jest Bartłomiej Prus-Głowacki.

Oferta

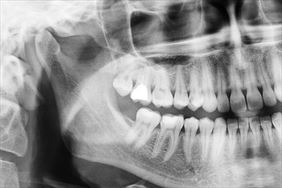
Rentgenodiagnostyka stomatologiczna odgrywa kluczową rolę w precyzyjnej ocenie stanu zdrowia zębów, kości szczęki, żuchwy oraz zatok szczękowych. Dzięki obrazowaniu radiologicznemu możemy wykryć zmiany niewidoczne gołym okiem, takie jak próchnica pod wypełnieniami, ubytki strukturalne, stany zapalne czy torbiele. Zdjęcia rentgenowskie są również niezbędne przy planowaniu leczenia ortodontycznego, implantologicznego oraz chirurgicznego.

W naszym gabinecie wykonujemy różne rodzaje zdjęć RTG, w tym:
  • zdjęcia panoramiczne,
  • zdjęcia punktowe,
  • zdjęcia cefalometryczne.
Nasz sprzęt pozwala nam na uzyskanie obrazów o wysokiej rozdzielczości przy jednoczesnym minimalizowaniu dawki promieniowania. Zdjęcia wykonujemy zarówno w formie analogowej, drukowane na kliszy, jak i w wersji cyfrowej, zapisanej na płycie CD. Dzięki temu pacjenci mogą łatwo przechowywać i udostępniać wyniki badań lekarzom prowadzącym.

Dbamy o to, aby każde badanie przebiegało sprawnie i komfortowo. Aparat dostosowuje się do pacjenta, co zapewnia wygodę podczas wykonywania zdjęcia i precyzyjne dopasowanie parametrów ekspozycji.

Więcej informacji znaleźć można na naszej stronie internetowej.

Więcej informacji

Kontakt

Kontakt Bartłomiej Prus-głowacki

Bartłomiej Prus-głowacki, Poznań

Słowa kluczowe

Opinie

Opinie o firmie

Średnia ocen

5.0
1 opinia
Opinie w pkt.pl

5.0/5

1 opinia

WeNet jako administrator serwisu nie prowadzi weryfikacji, czy publikowane w Serwisie opinie Użytkowników oraz zamieszczone przez WeNet w Serwisie opinie opublikowane w Portalach Zewnętrznych pochodzą od konsumentów, którzy nabyli dany produkt lub usługę lub ich używali.

Ocena w gwiazdkach (do 5) jest średnią arytmetyczną wszystkich ocen wynikającą z poniższych opinii.

Opinie użytkowników

Elka
Elka
Opinia z pkt.pl
5.0
31.05.2022
Fachowo wykonane zdjęcia zatok szczękowych. Dziękuję i polecam.